
Krankheitsprofil
mittelArthrose
Arthrose bei Hunden ist eine schmerzhafte Gelenkerkrankung, die zu Bewegungseinschre4nkungen ffchren kann. Eine frfhe Diagnose und Therapie sind entscheidend.

Krankheitsprofil
mittelArthrose bei Hunden ist eine schmerzhafte Gelenkerkrankung, die zu Bewegungseinschre4nkungen ffchren kann. Eine frfhe Diagnose und Therapie sind entscheidend.
Arthrose ist eine **chronische Gelenkerkrankung** bei Hunden, die vor allem ältere Tiere betrifft, aber auch jüngere Hunde betreffen kann, insbesondere wenn sie Übergewicht haben oder bereits Gelenkverletzungen erlitten haben. **Arthrose** führt zu **Gelenkschmerzen** und **Bewegungseinschränkungen**, was die Lebensqualität Ihres Hundes erheblich beeinträchtigen kann. Eine rechtzeitige Diagnose und eine individuell abgestimmte Behandlung können Schmerzen lindern und die Gelenkfunktion erhalten. Es ist für Tierbesitzer entscheidend, die Symptome zu erkennen und entsprechend zu handeln, um das Wohlbefinden ihres Vierbeiners zu gewährleisten.
Arthrose bei Hunden tritt häufig infolge von:
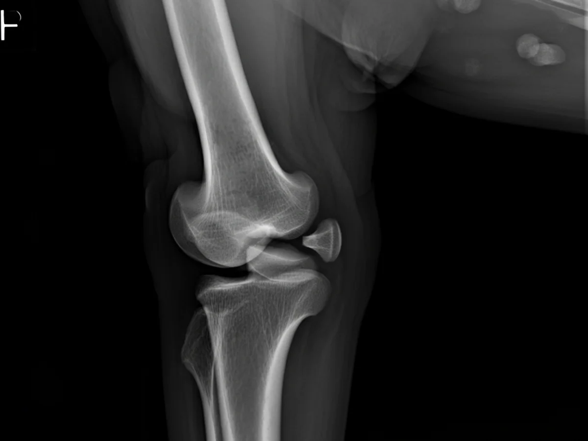
Zur Diagnose von Arthrose wird der Tierarzt zunächst eine gründliche körperliche Untersuchung Ihres Hundes durchführen, um den Bewegungsumfang und eventuelle Schmerzreaktionen zu beurteilen. Oft sind Röntgenaufnahmen erforderlich, um den Zustand der Gelenke genauer zu untersuchen. In einigen Fällen kann auch eine Ultraschalluntersuchung oder MRT notwendig sein. Diese Tests helfen, andere mögliche Ursachen für die Symptome auszuschließen und die Schwere der Arthrose zu bestimmen.
Die Behandlung von Arthrose bei Hunden umfasst meist eine Kombination aus medikamentöser Therapie, Gewichtsmanagement, und physiotherapeutischen Maßnahmen.
Die Behandlungskosten variieren stark, können jedoch von ca. 300 bis 1.500 Euro reichen, je nach Schweregrad und gewählter Therapie.
Langfristig können die Kosten für Medikamente, Therapien und potenzielle Operationen erheblich sein. Eine Tierkrankenversicherung kann helfen, diese finanzielle Belastung zu mildern und sicherzustellen, dass Ihr Hund die bestmögliche Versorgung erhält.
Die Ernährung spielt eine wichtige Rolle im Umgang mit Arthrose bei Hunden. Eine ausgewogene und hochwertige Fütterung kann dazu beitragen, das allgemeine Wohlbefinden Ihres Hundes zu fördern und Übergewicht zu vermeiden, was ein wesentlicher Risikofaktor für die Entwicklung und Verschlechterung von Arthrose ist. Übergewicht belastet die Gelenke zusätzlich und kann die Symptome der Erkrankung verschlimmern.
Es wird häufig besprochen, dass eine angepasste Ernährung, die auf die speziellen Bedürfnisse von Hunden mit Arthrose abgestimmt ist, hilfreich sein kann. Hierbei sollten artgerechte und hochwertige Futtermittel gewählt werden, die einen sinnvollen Anteil an Proteinen und Fetten enthalten. Die Fütterung sollte zudem an die Lebensphase und den Aktivitätsgrad Ihres Hundes angepasst werden.
Im Einzelfall kann es notwendig sein, spezielle Diäten oder Ergänzungsfuttermittel in Absprache mit Ihrer Tierärztin oder Ihrem Tierarzt zu berücksichtigen, um die Gelenkgesundheit zu unterstützen. Ein behutsamer Futterwechsel sollte immer unter tierärztlicher Rücksprache erfolgen, insbesondere wenn gesundheitliche Probleme vorliegen.
Zusammenfassend lässt sich sagen, dass eine durchdachte Ernährung einen positiven Einfluss auf die Lebensqualität Ihres Hundes mit Arthrose haben kann, indem sie dazu beiträgt, das Gewicht zu kontrollieren und die Gelenke zu entlasten.
Drei Produktlinien (Nass-/Trockenfutter oder Nahrungsergänzung) aus unserer Datenbank, die zum Bedarf passen können. Die Auswahl kann KI-unterstützt aus vorgegebenen Linien erfolgen – ohne medizinisches Heilsversprechen. Kein Ersatz für eine individuelle Futterumstellung mit Tierarzt oder Tierärztin – besonders bei Diäten.

schecker
NassfutterSchecker - Schecker Senioren Kost []
Tierlotse-Note 4,0
Schecker Senioren Kost ist ein schmackhaftes Trockenfutter für ältere Hunde, hergestellt aus frischem Huhn und angereichert mit Oligosacchariden für eine verbes
Produkt ansehen
schecker
NassfutterSchecker - Schecker Hundemenü - Lamm mit Reis, Birne, Aprikose und Olivenöl []
Tierlotse-Note 1,5
Das Schecker Hundemenü aus 100% Lamm bietet eine gesunde Mahlzeit mit Reis und heimischem Obst, verfeinert mit Chia und Olivenöl und eignet sich für alle Hunde.
Produkt ansehen
schecker
NassfutterSchecker - PUR Plus Streifen Rind + Schwarzkümmel []
Tierlotse-Note 1,5
Die Schecker PUR Plus Streifen Rind + Schwarzkümmel sind hochwertige Hundesnacks aus 95 % frischem Rinderherz und 5 % Schwarzkümmelsamen, ideal als Kausnack.
Produkt ansehenSuchen Sie sofort einen Tierarzt auf, wenn:
Eine Tierkrankenversicherung kann helfen, diese Kosten erheblich zu senken.
Dein persönliches Risiko: Kosten ohne Schutz seit der neuen GOT
Tierarztkosten steigen rasant: Entwicklung der GOT-Sätze.

ab 0 €/Monat

ab 12,60 €/Monat
Diese Rassen werden im Lexikon häufig mit Arthrose in Verbindung gebracht.